КОМПРОМАТ.UA | Новый вирус убивает быстро и неотвратимо
КОМПРОМАТ.UA
началопоискконтакт

RSS | Блогеры | О нас


НОВОСТЬ
Новый вирус убивает быстро и неотвратимо

Украинцы умирают не от пневмонии, а от дистресс-синдрома 

Новый вирус убивает быстро и неотвратимо

13 ноября 2009 | 12:16



0
 

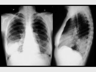
Все жертвы вируса на Буковине (22 человека в возрасте от 20 до 40 лет) умерли не от двусторонней пневмонии, как это считалось ранее, а в результате вирусного дисстрессиндрома, то есть тотального поражения легких: сначала наступает сердечно-легочная недостаточность, а затем развивается кардиогенный шок, который вызывает остановку сердца и смерть. Об этом 11 ноября газете "Доба" сообщил начальник бюро Черновицкой областной судмедэкспертизы, доктор наук, профессор Виктор Бачинский, пишет ВОВРЕМЯ.

"Во время двусторонней пневмонии отслеживается определенная морфологическая картина. Относительно данных смертей, то здесь такой морфологической картины нет. Вирус, который вызывает смерть, очень агрессивен, он даже не поражает трахею, а сразу попадает в легкие и вызывает сильный их отек и сплошные кровоизлияния. Вызывают такое состояние смешанные типы парагриппа и гриппа А/Н1N1. Это очень токсичный штамм, который до сих пор не подвергался выработанной Минздравом методе лечения", — сообщил Бачинский.

По его словам, нужно срочно менять стандарты лечения, ведь те, которые применялись до сих пор, результатов не дали — в реанимации не удалось спасти всех людей, пораженных этим вирусом. Не оправдались в этой ситуации и аппараты искусственной вентиляции легких — смертность людей наступала в 100%.

Ввиду этого, группа профессоров Черновицкого медуниверситета обратилась в Министерство здравоохранения и СНБО с требованием пересмотреть стандарты лечения больных на Буковине. Ученые-морфологи отправили в Киев протоколы, результаты исследований и взятые у тяжело больных и умерших от вируса лиц анализы.

Бачинский, входящий в группу инициаторов обращения, отмечает, что вирус является чрезвычайно токсичным, он способен проникать не только через органы дыхания, но и через глазную оболочку. Поэтому черновицкие ученые рекомендуют ни в коем случае не отказываться от масок и на период эпидемии даже носить защитные очки. Важным условием для недопущения ухудшения ситуации является также соблюдение карантинного режима.

 

источник: polemika.com.ua




Ваше мнение:

Ваше имя *
Ваш e-mail
Ваше сообщение * Сообщения, содержащие оскорбления, ругательства и нецензурные выражения, будут удаляться без предупреждения.



Поля, отмеченные (*), обязательны к заполнению
Код на картинке *


НОВОСТИ
Страница, которая на него вела, больше не существует.
Из-за зерна, вывезенного из захваченных россиянами украинских территорий, Украина и Израиль оказались на грани дипломатического конфликта.
Национальная комиссия, осуществляющая государственное регулирование в сферах энергетики и коммунальных услуг (НКРЭКУ), почти в два раза подняла предельные цены на рынке электроэнергии для юридических лиц с 1 мая.
В Сети появились новые расшифровки разговоров близкого к президенту Владимиру Зеленскому бизнесмена Тимура Миндича
Служащий ТЦК стал крупнейшим владельцем крипты Ethereum среди украинских чиновников
У Білій Церкві припинив діяльність завод ROSAVA, який тривалий час залишався єдиним виробником автомобільних шин в Україні
Внаслідок теракту в Києві 18 квітня загинув український музикант Ігор Савченко — учасник гурту "Друге Сонце"
В окремих теруправліннях БЕБ конкурси на заступників керівників і атестації детективів набули трагічно-корупційних ознак
Прокуратура Ивано-Франковской области хочет отсудить у ГП "Леса Украины" почти 387 млн грн убытков за вырубку деревьев в нацпарке "Гуцульщина"
У Києві судитимуть директорку ліцею в Деснянському районі за розтрату бюджету закладу.
В Киеве вынесли приговор бывшей начальнице отдела управления образования Днепровской РГА Ольге Дроздовой
Питання впровадження обовʼязкового техогляду для всіх автівок залишається політично чутливим, зауважив заступник міністра розвитку громад та територій України Сергій Деркач.
Понад 10 тис. кв. м. майна Державної акціонерної холдингової компанії "Київський радіозавод" перейшли в приватну власність за 2,7 млн грн, коли їхня ринкова вартість становила понад 62 млн грн.
Російські хакери, повʼязані з владою країни-агресора РФ, розгорнули масштабну кампанію з викрадення доступів до акаунтів Signal та WhatsApp.
Уряд Угорщини ухвалив постанову про вилучення валюти та цінностей з інкасаторських автомобілів "Ощадбанку". Документ має створити юридичне підґрунтя для цих дій.
Житомирщина у центрі антикор розслідувань: історія "касира" Дмитрука за версією ЗМІ
Верховна Рада відхилила урядовий законопроєкт №14025, який передбачає оподаткування доходів, отриманих через цифрові платформи, такі як OLX, Prom.ua, Uklon, Bolt та інші.
Юристы миллиардера Романа Абрамовича сообщили правительству Великобритании, что деньги, полученные от продажи футбольного клуба “Челси” в 2022 году, принадлежат ему, и он намерен самостоятельно распорядиться ими в благотворительных целях.
Президент США Дональд Трамп приобрел облигации Netflix на сумму более 1,1 миллиона долларов за последние три месяца, когда гигант стриминговых услуг безуспешно боролся с Paramount Skydance за приобретение Warner Bros Discovery.
Хозяйственный суд Полтавской области 24 февраля открыл производство по делу о банкротстве Полтавского горно-обогатительного комбината.
Организатор мошеннических колл-центров Игорь Комаров заявил, что Рубель получает ежемесячную абонплату из каждого “офиса”
Смертельное ДТП во Львовской области совершил прокурор Шептицкой окружной прокуратуры Руслан Кульчицкий из Самборского района.
После атаки на антикоррупционные органы в июле президент Владимир Зеленский хоть и принял решение отступить, но только для того, чтобы перегруппироваться и продолжить.
Экс-нардепа от Партии Регионов Юрия Иванющенко, подозреваемого в легализации 18 га государственной земли на более 160 млн грн, объявили в розыск.
Національна поліція розпочала досудове розслідування щодо звинувачень актора Костянтина Темляка у домашньому насильстві.
Глава Минфина США Скот Бессент обвинил Индию в наживании на резком увеличении закупок российской нефти
На Полтавщині жінка зазнала психологічного тиску та емоційної пригніченості після заклику колишнього чоловіка утриматися від вживання алкоголю.






Загрузка...


Погода, Новости, загрузка...
 
© Информационный проект "Компромат.UA", 2007-2009. Все права защищены.
При использовании материалов ссылка на "Компромат.UA" обязательна.
Created by: © "Компания дизайн и интернет решений AB Design",
Powered by: © "Admin CMS", 2007-2009.
Разработано компанией
AB Design 2007